来源 : 北京朝阳医院
时间 : 2025-05-27
A+
近日,北京朝阳医院普外科副主任韩加刚教授团队成功为一名特殊的病态肥胖患者完成腹腔镜袖状胃切除术。该患者是一名罕见的“镜面人”(医学称“全内脏反位”),心脏、肝脏、胃等器官位置与常人完全相反。手术团队通过精准术前规划和术中技术调整,突破解剖变异难题,成功实施手术,标志着医院在减重手术领域的技术创新再进一步。
患者35岁,身高170cm,体重达130kg(BMI 45.0),合并严重睡眠呼吸暂停和脂肪肝。就医时患者坦言:“因为内脏反位,很多医生不敢给我做手术,怕‘迷路’。”经检查,患者心脏位于右侧,肝脏在左侧,胃部形态镜像反转,属于全内脏反位(Situs Inversus Totalis),发病率仅约1/10,000。

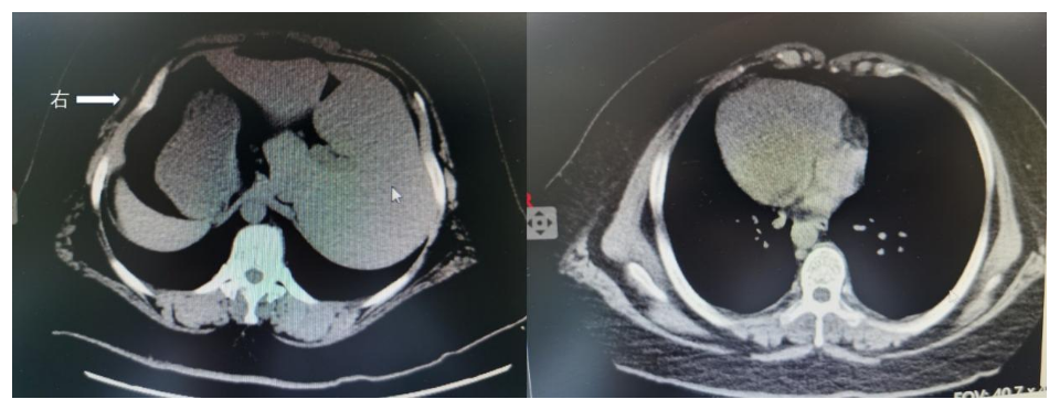
CT图提示患者内脏反转,肝脾位置互换,心脏位于右侧
朝阳医院普外科副主任韩加刚团队接诊后,联合放射影像介入中心、麻醉科进行多学科讨论。通过CT数据重建患者腹腔器官立体结构,明确血管、神经走行。手术中调整常规手术操作:Trocar穿刺点镜像布局(常规左侧操作孔改为右侧);胃切割顺序从“右向左”逆向进行;针对脾血管反位设计保护预案。手术仅历时1小时,出血量不足20ml,患者术后无明显不适,术后4小时患者即自由下地活动,当天饮水100ml,术后第二天顺利出院,患者对手术效果非常满意。

韩加刚团队为患者进行手术
韩加刚表示:“镜面人手术如同‘左手写毛笔字’,需打破常规思维。通过术前精准评估和术中技术调整可获得与正常解剖患者相当的疗效。”朝阳医院每年完成减重手术近300例,此次案例为特殊解剖结构肥胖患者提供新希望。肥胖合并复杂基础疾病者应尽早至正规医院评估。